Lichen Sclerosus (Vulvar Lesions)

What is Lichen Sclerosus?

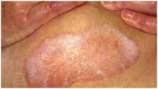
Lichen sclerosus is a chronic disorder of the skin, most commonly seen on the vulva. Extragenital lesions are seen in 5-20% of patients. Typical lesions of lichen sclerosus are porcelain-white papules and plaques, often seen in conjunction with areas of ecchymosis or purpura.

What are the symptoms of lichen sclerosus?

Signs and symptoms usually affect the skin of the genital and anal areas, but may also affect the skin of the upper body, upper arms and breasts. They may include:
  • Redness
  • Itching (pruritus), which can be severe
  • Discomfort or pain
  • Smooth white patches on your skin
  • Blotchy, wrinkled patches
  • Tearing or bleeding
  • In severe cases, bleeding, blistering or ulcerated sores
  • Painful sex

What are the symptoms of lichen sclerosus?

The cause of lichen sclerosus is unknown. An overactive immune system or an imbalance of hormones may play a role. Previous skin damage at a particular site on your skin may increase the likelihood of lichen sclerosus at that location.
Lichen sclerosus isn't contagious and cannot be spread through sexual intercourse.

How is lichen sclerosus treated?

Treatment options include: Topical corticosteroids, which are often applied daily. Sometimes vulval biopsy required. For women experiencing painful sexual intercourse due to tightening of the vagina, your doctor can prescribe vaginal dilators, a water-based lubricant, or, if needed, a numbing cream like